На Волині медики врятували життя чоловіку з інфарктом. ФОТО
Медики Ковельського міськрайонного територіального медичного об'єднання провели операцію пацієнту з інфарктом міокарда.
Про це йдеться на сторінці Ковельського МТМО у facebook.
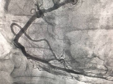
"Сьогодні нашими лікарями за допомогою сучасного ангіографа урнентно проведено стентування коронарних артерій хворому П. з приводу інфаркту міокарда.
Врятоване ще одне життя!!!",- йдеться в дописі.
Бажаєте дізнаватися головні новини Луцька та Волині першими? Приєднуйтеся до нашого каналу в Telegram!
Про це йдеться на сторінці Ковельського МТМО у facebook.
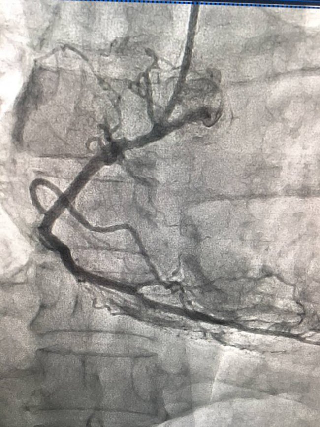
"Сьогодні нашими лікарями за допомогою сучасного ангіографа урнентно проведено стентування коронарних артерій хворому П. з приводу інфаркту міокарда.
Врятоване ще одне життя!!!",- йдеться в дописі.
Бажаєте дізнаватися головні новини Луцька та Волині першими? Приєднуйтеся до нашого каналу в Telegram!
Якщо Ви зауважили помилку, виділіть її та натисніть Ctrl+Enter для того, щоб повідомити про це редакцію
Коментарі 0
Останні новини
Луцький зоопарк розробив власний календар. ФОТО
30 грудня, 2018, 23:43
Родинам військовополонених моряків виплатили по 100 тисяч гривень
30 грудня, 2018, 22:40
На Волині медики врятували життя чоловіку з інфарктом. ФОТО
30 грудня, 2018, 21:42
Волинські військовослужбовці завітали в гості до дітей загиблих на війні побратимів
30 грудня, 2018, 21:17
На Тернопільщині на новорічному ранку раптово померла шестикласниця
30 грудня, 2018, 20:46
