Особливості встановлення вінірів*
Сьогодні стоматологія стала більш доступною для людей. Якщо раніше ті, хто мав зовнішні недоліки зубного ряду, комплексували, бо не мали можливості їх виправити, то зараз стоматологічні клініки пропонують цілий ряд різноманітних ортодонтичних конструкцій для відновлення зубів. Серед них великим попитом у клієнтів користуються так звані вініри. Вони являють собою тонкі пластинки, що встановлюються на передні зуби з естетичною метою. І хоча вони не відновлюють жувальні функції, тим не менш, успішно запобігають руйнуванню зубів.
Різновиди вінірів та показання до їх використання
Розрізняють декілька видів ортодонтичних накладок, які класифікуються в залежності від матеріалу для їх виготовлення. Це – люмініри, керамічні (порцелянові) та композитні (терапевтичні) вініри.
Доцільність встановлення даних накладок в кожному конкретному випадку визначає фахівець після ретельного обстеження стану зубного ряду. Існують певні показання до застосування вінірів, серед яких:
1. потемніння емалі, яке проблематично відбілити усіма можливими способами;
2. невеличкі тріщини і сколи на передніх зубах;
3. занадто помітні проміжки між різцями (треми і діастеми);
4. скупчення зубів, порушення їхньої форми;
5. естетична непривабливість із-за великої кількості пломб різних відтінків.
Композитні мікропротези в основному використовуються для маскування незначних недоліків на зубах, керамічні та люмініри – якщо потрібно приховати значні та численні дефекти.
Установлюються вініри на криві зуби, зуби з переліченими дефектами, а також на цілком здорові та проліковані.
Але навіть при наявності істотних недоліків, стоматолог може відмовити пацієнту у встановленні конструкції, оскільки, крім певних переваг, існують також і протипоказання до їх застосування. Так, серед позитивних моментів фахівці відмічають наступні:
• вініри легко кріпляться на проблемні зуби за допомогою спеціального цементу;
• при цьому установка не потребує сточування зубів, а лише незначного шліфування;
• нетоксичність матеріалів, з яких виготовляються накладки;
• біологічна сумісність з зубними тканинами;
• низький показник алергенності;
• унікальна естетичність.
Не можна розраховувати на встановлення накладок, якщо у людини існують серйозні паталогії прикусу, бруксизм (неконтрольоване скреготіння зубами), відсутність 6 чи 7 зуба в ряду, руйнація зубів більш як на 45-50 вісотків.
Як ставлять вініри
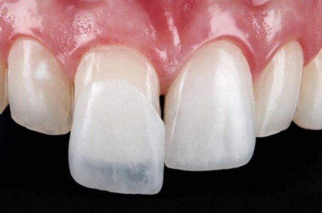
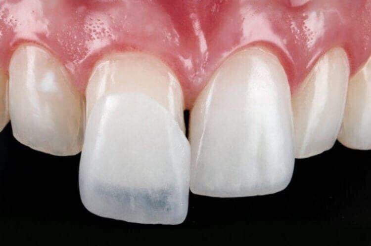
Встановити ортодонтичні конструкції можливо двома способами – прямим і непрямим в залежності від процесу та матеріалу виготовлення. Особливості вінірів як раз у цьому і полягають.
Так, найпростішим вважається прямий метод, при якому застосовуються композитні мікропротези. Процедура відбувається за один візит до стоматолога. Спочатку з проблемних зубів знімається тонкий шар емалі, далі наноситься декілька шарів відповідного пломбувального матеріалу. Після формування вініру його поверхня шліфується та полірується.
Усі інші накладки виготовляються в зубопротезних лабораторіях за індивідуальними зліпками, тому для їх установки буде потрібно декілька сеансів. Спочатку проводиться санація ротової порожнини та зняття першого силіконового зліпку, далі – обточення дефектних зубів та повторне зняття зліпку, завершується процедура фіксацією пластинок спеціальною цементною сумішшю.
Вважається, що керамічні вініри більш міцні та довговічні в порівнянні з композитними. Але не дивлячись на це, для того, щоб протези слугували якомога довше, за ними потрібен певний догляд, а також слід переглянути свій раціон (виключити тверду їжу, горіхи, надмірне вживання алкоголю) і забути про куріння.
Цінова політика
Встановлення вінірів – процедура не із дешевих. Але мета, як кажуть, виправдовує засоби, в даному випадку фінансові трати. Вартість ортопедичних виробів коливається у межах від 1000 до 3500 гривень за одиницю. Найдешевші – композитні накладки. Вартість люмінірів сягає за 12 тис. грн.
Ціни на встановлення вінірів включають в себе усі видаткові матеріали на виготовлення та фіксацію накладок. Однак, такі підготовчі роботи, як діагностика, чистка та лікування зубів перед установкою конструкції, зняття зліпків, оплачуються окремо по прейскуранту стоматологічної клініки.
Що таке знімні вініри
Сучасні інноваційні розробки дозволяють людям самостійно забезпечувати естетику своєї ротової порожнини без використання стоматологічних накладок. Для цього створені універсальні конструкції, що представлені двома накладками на ясна і зубний ряд для нижньої та верхньої щелепи. Знімні вініри виготовляються із різного матеріалу: та частина, що прилягає до ясен – із силікону, що забезпечує надійну фіксацію та впливає на зручність при носінні; інша частина, яка закриває зуби – з гнучкої пластмаси (нейлон плюс медичний поліпропілен), яка характеризується особливою стійкістю до природних барвників, різниці температур та несприятливих зовнішніх впливів.
Зйомні накладки зручні та прості у використанні. Носяться вони протягом дня, а на ніч знімаються, промиваються і зберігаються у спеціальному контейнері. Купити знімні вініри можна в спеціалізованих магазинах, стоматологічних клініках та через Інтернет.
Бажаєте дізнаватися головні новини Луцька та Волині першими? Приєднуйтеся до нашого каналу в Telegram!
Різновиди вінірів та показання до їх використання
Розрізняють декілька видів ортодонтичних накладок, які класифікуються в залежності від матеріалу для їх виготовлення. Це – люмініри, керамічні (порцелянові) та композитні (терапевтичні) вініри.
Доцільність встановлення даних накладок в кожному конкретному випадку визначає фахівець після ретельного обстеження стану зубного ряду. Існують певні показання до застосування вінірів, серед яких:
1. потемніння емалі, яке проблематично відбілити усіма можливими способами;
2. невеличкі тріщини і сколи на передніх зубах;
3. занадто помітні проміжки між різцями (треми і діастеми);
4. скупчення зубів, порушення їхньої форми;
5. естетична непривабливість із-за великої кількості пломб різних відтінків.
Композитні мікропротези в основному використовуються для маскування незначних недоліків на зубах, керамічні та люмініри – якщо потрібно приховати значні та численні дефекти.
Установлюються вініри на криві зуби, зуби з переліченими дефектами, а також на цілком здорові та проліковані.
Але навіть при наявності істотних недоліків, стоматолог може відмовити пацієнту у встановленні конструкції, оскільки, крім певних переваг, існують також і протипоказання до їх застосування. Так, серед позитивних моментів фахівці відмічають наступні:
• вініри легко кріпляться на проблемні зуби за допомогою спеціального цементу;
• при цьому установка не потребує сточування зубів, а лише незначного шліфування;
• нетоксичність матеріалів, з яких виготовляються накладки;
• біологічна сумісність з зубними тканинами;
• низький показник алергенності;
• унікальна естетичність.
Не можна розраховувати на встановлення накладок, якщо у людини існують серйозні паталогії прикусу, бруксизм (неконтрольоване скреготіння зубами), відсутність 6 чи 7 зуба в ряду, руйнація зубів більш як на 45-50 вісотків.
Як ставлять вініри
Встановити ортодонтичні конструкції можливо двома способами – прямим і непрямим в залежності від процесу та матеріалу виготовлення. Особливості вінірів як раз у цьому і полягають.
Так, найпростішим вважається прямий метод, при якому застосовуються композитні мікропротези. Процедура відбувається за один візит до стоматолога. Спочатку з проблемних зубів знімається тонкий шар емалі, далі наноситься декілька шарів відповідного пломбувального матеріалу. Після формування вініру його поверхня шліфується та полірується.
Усі інші накладки виготовляються в зубопротезних лабораторіях за індивідуальними зліпками, тому для їх установки буде потрібно декілька сеансів. Спочатку проводиться санація ротової порожнини та зняття першого силіконового зліпку, далі – обточення дефектних зубів та повторне зняття зліпку, завершується процедура фіксацією пластинок спеціальною цементною сумішшю.
Вважається, що керамічні вініри більш міцні та довговічні в порівнянні з композитними. Але не дивлячись на це, для того, щоб протези слугували якомога довше, за ними потрібен певний догляд, а також слід переглянути свій раціон (виключити тверду їжу, горіхи, надмірне вживання алкоголю) і забути про куріння.
Цінова політика
Встановлення вінірів – процедура не із дешевих. Але мета, як кажуть, виправдовує засоби, в даному випадку фінансові трати. Вартість ортопедичних виробів коливається у межах від 1000 до 3500 гривень за одиницю. Найдешевші – композитні накладки. Вартість люмінірів сягає за 12 тис. грн.
Ціни на встановлення вінірів включають в себе усі видаткові матеріали на виготовлення та фіксацію накладок. Однак, такі підготовчі роботи, як діагностика, чистка та лікування зубів перед установкою конструкції, зняття зліпків, оплачуються окремо по прейскуранту стоматологічної клініки.
Що таке знімні вініри
Сучасні інноваційні розробки дозволяють людям самостійно забезпечувати естетику своєї ротової порожнини без використання стоматологічних накладок. Для цього створені універсальні конструкції, що представлені двома накладками на ясна і зубний ряд для нижньої та верхньої щелепи. Знімні вініри виготовляються із різного матеріалу: та частина, що прилягає до ясен – із силікону, що забезпечує надійну фіксацію та впливає на зручність при носінні; інша частина, яка закриває зуби – з гнучкої пластмаси (нейлон плюс медичний поліпропілен), яка характеризується особливою стійкістю до природних барвників, різниці температур та несприятливих зовнішніх впливів.
Зйомні накладки зручні та прості у використанні. Носяться вони протягом дня, а на ніч знімаються, промиваються і зберігаються у спеціальному контейнері. Купити знімні вініри можна в спеціалізованих магазинах, стоматологічних клініках та через Інтернет.
Бажаєте дізнаватися головні новини Луцька та Волині першими? Приєднуйтеся до нашого каналу в Telegram!
Якщо Ви зауважили помилку, виділіть її та натисніть Ctrl+Enter для того, щоб повідомити про це редакцію
Коментарі 0
Вибір редактора
Останні новини
Луцькрада відмовила у встановленні світлофора поблизу школи на Вишкові. ДОКУМЕНТ
25 жовтня, 2018, 10:25
В Україну прийде потепління
25 жовтня, 2018, 10:24
Особливості встановлення вінірів*
25 жовтня, 2018, 09:56
У Ковелі на деяких вулицях не буде води
25 жовтня, 2018, 09:47
Розповіли, скільки коштує овочевий кошик на Волині
25 жовтня, 2018, 09:45
