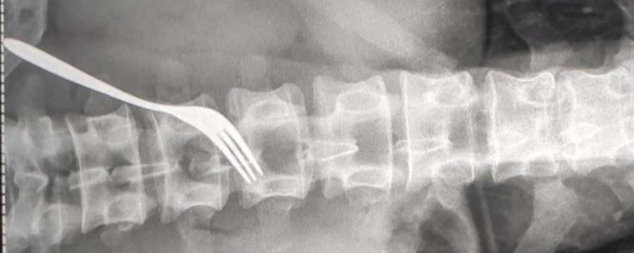
В Ужгороді чоловік жив з виделкою у шлунку три місяці. ФОТО
Виделку витягнули з чоловіка під час операції в Ужгородській міській клінічній лікарні. Хірургічне втручання провели 8 липня.
Про це кореспондентам Суспільного розповів головний лікар Іван Курах.
Зараз пацієнт перебуває в стані середньої важкості.
За словами медика, виделку пацієнт проковтнув 3-4 місяці тому: "Сталося це не гострим, а тупим кінцем. Це представник ромського населення. За 3-4 останні дні воно дуже спазмувало, подразнило слизову шлунку, тому вчора в нього були дуже різкі болі. Колеги були змушені брати його й оперувати. Забрали вилку і зашили стінку шлунку. Там є (у чоловіка, — ред.) порушена психіка".
Три тижні тому, каже Курах, у Виноградові, витягнули в пацієнта замок.
Бажаєте дізнаватися головні новини Луцька та Волині першими? Приєднуйтеся до нашого каналу в Telegram!
Про це кореспондентам Суспільного розповів головний лікар Іван Курах.
Зараз пацієнт перебуває в стані середньої важкості.
За словами медика, виделку пацієнт проковтнув 3-4 місяці тому: "Сталося це не гострим, а тупим кінцем. Це представник ромського населення. За 3-4 останні дні воно дуже спазмувало, подразнило слизову шлунку, тому вчора в нього були дуже різкі болі. Колеги були змушені брати його й оперувати. Забрали вилку і зашили стінку шлунку. Там є (у чоловіка, — ред.) порушена психіка".
Три тижні тому, каже Курах, у Виноградові, витягнули в пацієнта замок.
Бажаєте дізнаватися головні новини Луцька та Волині першими? Приєднуйтеся до нашого каналу в Telegram!
Якщо Ви зауважили помилку, виділіть її та натисніть Ctrl+Enter для того, щоб повідомити про це редакцію
Коментарі 0
Вибір редактора
Останні новини
Ремонтні роботи: у Ківерцях та 10 селах району не буде газу
10 липня, 2020, 07:17
Контейнери для пластикових пляшок встановлять одразу в 5 населених пунктах району на Волині
10 липня, 2020, 06:11
В Ужгороді чоловік жив з виделкою у шлунку три місяці. ФОТО
10 липня, 2020, 05:45
Повідомили, коли відновлять археологічні роботи у вежі Чарторийських у Луцьку
10 липня, 2020, 04:41
В Україні хочуть збільшити штрафи за кинуті недопалки
10 липня, 2020, 03:19
