Волинські медики провели унікальну операцію з видалення кисти зі стегнової кістки пацієнта
На базі центру "Ортопедії, травматології та артроскопії" Волинської обласної лікарні за рік проводять сотні ендопротезувань колінних та кульшових суглобів.
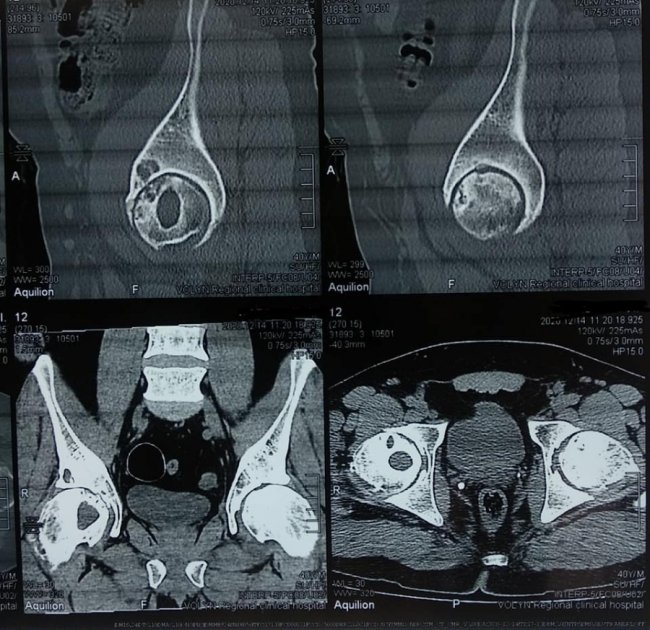
Інформують на facebook-сторінці медзакладу.
В більшості випадків покази до втручання очевидні: стійкий больовий синдром, комбіновані контрактури, деструкція суглобових поверхонь.
4 лютого перед ортопедами постало непросте завдання: чоловік 40 років скаржився на біль в ділянці правого кульшового суглоба, який турбує при ходьбі та у стані спокою.
В ході подальшого дослідження в головці правої стегнової кістки виявили кисту розмірами 2*2*2,5 см.
"В ході клінічного розбору було прийняте рішення на користь органозберігаючої операції. Куратор напрямку пухлин та пухлиноподібних захворювань Шевчик Я.В. виконав унікальну операцію: декомпресійну пластику кисти головки стегнової кістки", - йдеться в дописі.
Ця операція полягає у видаленні вмісту кисти, очищенні її стінок та виповнення дефекту кістковим трансплантатом з доступу розміром 3 см.
Перевагами цього методу є – збереження суглоба пацієнта, малоінвазивність та рання мобілізація з максимально швидким поверненням до повноцінного життя.
"І як результат – задоволений пацієнт. Отож, довіряйте професіоналам та будьте здорові", - наголошують медики.
Бажаєте дізнаватися головні новини Луцька та Волині першими? Приєднуйтеся до нашого каналу в Telegram!
Інформують на facebook-сторінці медзакладу.
В більшості випадків покази до втручання очевидні: стійкий больовий синдром, комбіновані контрактури, деструкція суглобових поверхонь.
4 лютого перед ортопедами постало непросте завдання: чоловік 40 років скаржився на біль в ділянці правого кульшового суглоба, який турбує при ходьбі та у стані спокою.
В ході подальшого дослідження в головці правої стегнової кістки виявили кисту розмірами 2*2*2,5 см.
"В ході клінічного розбору було прийняте рішення на користь органозберігаючої операції. Куратор напрямку пухлин та пухлиноподібних захворювань Шевчик Я.В. виконав унікальну операцію: декомпресійну пластику кисти головки стегнової кістки", - йдеться в дописі.
Ця операція полягає у видаленні вмісту кисти, очищенні її стінок та виповнення дефекту кістковим трансплантатом з доступу розміром 3 см.
Перевагами цього методу є – збереження суглоба пацієнта, малоінвазивність та рання мобілізація з максимально швидким поверненням до повноцінного життя.
"І як результат – задоволений пацієнт. Отож, довіряйте професіоналам та будьте здорові", - наголошують медики.
Бажаєте дізнаватися головні новини Луцька та Волині першими? Приєднуйтеся до нашого каналу в Telegram!
Якщо Ви зауважили помилку, виділіть її та натисніть Ctrl+Enter для того, щоб повідомити про це редакцію
Коментарі 0
Вибір редактора
Останні новини
У волинській громаді депутати двічі не змогли призначити старосту. ВІДЕО
05 лютого, 2021, 22:25
Зірвали розетки та пошкодили кисневу систему: аптекарі-орендарі залишили безлад у волинській дитячій лікарні
05 лютого, 2021, 21:46
Волинські медики провели унікальну операцію з видалення кисти зі стегнової кістки пацієнта
05 лютого, 2021, 21:19
Три волинські школи долучилися до екологічного проєкту «Україна без сміття»
05 лютого, 2021, 20:52
На Волині викрили злодіїв, які вкрали електроінструменти
05 лютого, 2021, 20:15
