Бійцю АТО з Волині волонтери допомогли стати на ноги
Житель Нововолинська Юрій, який став учасником проекту «Біотех-реабілітація поранених» пройшов контрольний огляд через рік після повного завершення лікування.
Про це повідомила волонтер People's Project Анастасія Обертас.
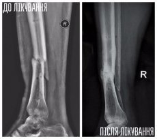
Обстеження у клініці показало, що його реабілітація проходить успішно.
Лікування бійця стало можливим виключно завдяки благодійним внескам: на лікування Юрія у рамках проекту волонтери People’s Project зібрали понад 200 тисяч гривень.
Юрій — боєць 51 ОМБр, травму отримав у липні 2014 року під Слов'янськом. Авто, яким кермував Юрій, підірвалося на ворожому фугасі, осколками тяжко травмувало руку і ногу хлопця. Юрія лікували у трьох шпиталях, та навіть за рік зусиль лікарів кістки гомілки не зрослися.У місці перелому почав формуватися несправжній суглоб, ногу тяжко викрутило — хлопець ледве пересувався навіть на милицях.
Влітку 2015 року, завдяки порадам та допомозі волонтерів, Юрій долучився до «Біотеху».
Але попереду у чоловіка курс вправ, тренувань та реабілітації, адже лікування тривало дуже довго, то й відновлення триває і посьогодні. Та ходити на власних ногах — однозначно краще, ніж скакати на милицях чи і взагалі ледве кульгати на протезі.
Лікування Юрія стало можливим виключно завдяки допомозі простих людей. Держава інноваційні технології у лікуванні не фінансує, а ті методи, які застосовує традиційна медицина, інколи вже застарілі - при тяжких бойових травмах вони часто просто безсилі.
Допомогти нашим пораненим захисникам можемо ми із вами: кожен благодійний внесок у рамках проекту «Біотех-реабілітація поранених» допомагає використати останній шанс і наближає до зцілення й інших пацієнтів проекту, від яких відмовилася держава.
Бажаєте дізнаватися головні новини Луцька та Волині першими? Приєднуйтеся до нашого каналу в Telegram!
Про це повідомила волонтер People's Project Анастасія Обертас.
Обстеження у клініці показало, що його реабілітація проходить успішно.
Лікування бійця стало можливим виключно завдяки благодійним внескам: на лікування Юрія у рамках проекту волонтери People’s Project зібрали понад 200 тисяч гривень.
Юрій — боєць 51 ОМБр, травму отримав у липні 2014 року під Слов'янськом. Авто, яким кермував Юрій, підірвалося на ворожому фугасі, осколками тяжко травмувало руку і ногу хлопця. Юрія лікували у трьох шпиталях, та навіть за рік зусиль лікарів кістки гомілки не зрослися.У місці перелому почав формуватися несправжній суглоб, ногу тяжко викрутило — хлопець ледве пересувався навіть на милицях.
Влітку 2015 року, завдяки порадам та допомозі волонтерів, Юрій долучився до «Біотеху».
Але попереду у чоловіка курс вправ, тренувань та реабілітації, адже лікування тривало дуже довго, то й відновлення триває і посьогодні. Та ходити на власних ногах — однозначно краще, ніж скакати на милицях чи і взагалі ледве кульгати на протезі.
Лікування Юрія стало можливим виключно завдяки допомозі простих людей. Держава інноваційні технології у лікуванні не фінансує, а ті методи, які застосовує традиційна медицина, інколи вже застарілі - при тяжких бойових травмах вони часто просто безсилі.
Допомогти нашим пораненим захисникам можемо ми із вами: кожен благодійний внесок у рамках проекту «Біотех-реабілітація поранених» допомагає використати останній шанс і наближає до зцілення й інших пацієнтів проекту, від яких відмовилася держава.
Бажаєте дізнаватися головні новини Луцька та Волині першими? Приєднуйтеся до нашого каналу в Telegram!
Якщо Ви зауважили помилку, виділіть її та натисніть Ctrl+Enter для того, щоб повідомити про це редакцію
Коментарі 0
Вибір редактора
Останні новини
Порошенко заявив, що в Україні не буде мобілізації
22 лютого, 2017, 13:25
Гунчик запросив шахтарів на розмову «без політики»
22 лютого, 2017, 13:06
Бійцю АТО з Волині волонтери допомогли стати на ноги
22 лютого, 2017, 13:01




