13-річній дівчинці з Волині потрібна дороговартісна операція: небайдужих просять допомогти
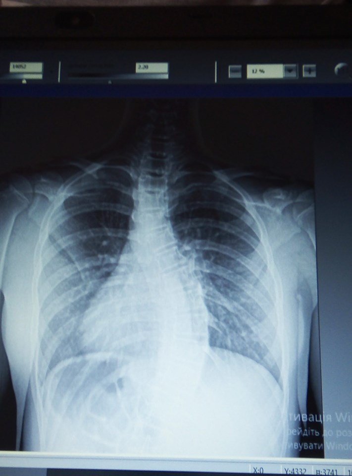
У 13-річної Анастасії, яка родом з Володимира-Волинського – сколіоз третього ступня (ідіопатичний грудо-поперековий).
Дівчинка має інвалідність, а хвороба й далі прогресує, - пише Володимир медіа.
Допомогти може складна операція з встановленням складної конструкції у спину, яка дозволить тримати хребці у правильному положенні. Вартість встановлення – 180 тисяч гривень.
Ця сума є непідйомною для мами, яка самотужки виховує донечку. Тому вона просить відгукнутись небайдужих людей і допомогти зібрати неробхідні кошти .
Прохання переказувати гроші на картку Приватбанку 5168757363048176 Ліна Володимирівна Марчак. Телефон:0634084142.
Бажаєте дізнаватися головні новини Луцька та Волині першими? Приєднуйтеся до нашого каналу в Telegram!
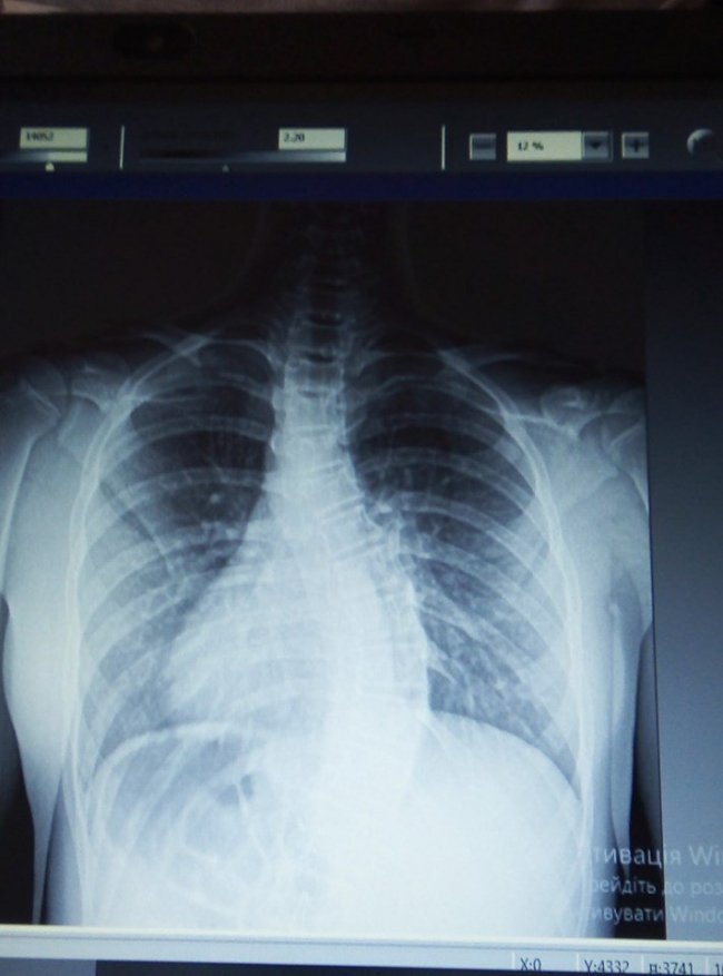
Дівчинка має інвалідність, а хвороба й далі прогресує, - пише Володимир медіа.
Допомогти може складна операція з встановленням складної конструкції у спину, яка дозволить тримати хребці у правильному положенні. Вартість встановлення – 180 тисяч гривень.
Ця сума є непідйомною для мами, яка самотужки виховує донечку. Тому вона просить відгукнутись небайдужих людей і допомогти зібрати неробхідні кошти .
Прохання переказувати гроші на картку Приватбанку 5168757363048176 Ліна Володимирівна Марчак. Телефон:0634084142.
Бажаєте дізнаватися головні новини Луцька та Волині першими? Приєднуйтеся до нашого каналу в Telegram!
Якщо Ви зауважили помилку, виділіть її та натисніть Ctrl+Enter для того, щоб повідомити про це редакцію
Коментарі 0
Вибір редактора
Останні новини
У Чарукові на смерть збили 18-річного хлопця: шукають водія-втікача
30 вересня, 2019, 14:51
На наймасштабнішому дні студента у Луцьку виступить популярний гурт MOZGI
30 вересня, 2019, 14:49
13-річній дівчинці з Волині потрібна дороговартісна операція: небайдужих просять допомогти
30 вересня, 2019, 14:42
У аварії на Рівненщині травмувалась 21-річна лучанка. ФОТО
30 вересня, 2019, 14:20
Лучан запрошують на найбільшу автомобільну виставку у Варшаві*
30 вересня, 2019, 14:10
