Хвороба швидко прогресує: дівчині з Волині потрібна дороговартісна операція
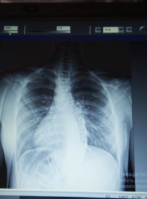
У 13-річної Анастасії Марчак з Володимира-Волинського важкий сколіоз третього ступеня (ідіопатичний грудо-поперековий сколіоз).
Останній рік хвороба швидко прогресує. Єдиний вихід — операція зі встановлення імпланту, яку треба провести максимум через півтора місяці. Вартість операції – 180 тисяч гривень. Сума є непідйомною для матері, яка сама виховує доньку. Про це повідомила мама дівчинки Ліна Марчак.
Титанова конструкція, яку мають встановити на хребет, допоможе тримати хребці у правильному положенні. Наразі є ризик неминучого викривлення хребта, що дасть ускладнення на роботу внутрішніх органів.
"На жаль, Насті стає гірше – консервативне лікування вже не допомагає: підлітковий вік, донька помітно виросла, і за рік відсоток викривлення прогресував на 14 градусів. Наразі лікарі дають шанс збереження гнучкості попереку, поки це ще можливо – це близько 2-х місяців. Час іде – вартість операції буде зростати із градусом викривлення. Лікарі не можуть встановити причин стрімкого прогресування", – розповіла матір дівчинки.
Мати Анастасіївдячна за допомогу, яка вже надійшла, та, на жаль, її не вистачить на операцію, тому змушена просити ще.
Людська небайдужість – це шанс для Анастасії бути здоровою.
Прохання переказувати гроші на картку: Приватбанку – 5168 7573 6304 8176, Ощадбанку – 4790 8200 1191 7645, Ліна Володимирівна Марчак.
Телефон: 063 408 41 42.
Бажаєте дізнаватися головні новини Луцька та Волині першими? Приєднуйтеся до нашого каналу в Telegram!
Останній рік хвороба швидко прогресує. Єдиний вихід — операція зі встановлення імпланту, яку треба провести максимум через півтора місяці. Вартість операції – 180 тисяч гривень. Сума є непідйомною для матері, яка сама виховує доньку. Про це повідомила мама дівчинки Ліна Марчак.
Титанова конструкція, яку мають встановити на хребет, допоможе тримати хребці у правильному положенні. Наразі є ризик неминучого викривлення хребта, що дасть ускладнення на роботу внутрішніх органів.
"На жаль, Насті стає гірше – консервативне лікування вже не допомагає: підлітковий вік, донька помітно виросла, і за рік відсоток викривлення прогресував на 14 градусів. Наразі лікарі дають шанс збереження гнучкості попереку, поки це ще можливо – це близько 2-х місяців. Час іде – вартість операції буде зростати із градусом викривлення. Лікарі не можуть встановити причин стрімкого прогресування", – розповіла матір дівчинки.
Мати Анастасіївдячна за допомогу, яка вже надійшла, та, на жаль, її не вистачить на операцію, тому змушена просити ще.
Людська небайдужість – це шанс для Анастасії бути здоровою.
Прохання переказувати гроші на картку: Приватбанку – 5168 7573 6304 8176, Ощадбанку – 4790 8200 1191 7645, Ліна Володимирівна Марчак.
Телефон: 063 408 41 42.
Бажаєте дізнаватися головні новини Луцька та Волині першими? Приєднуйтеся до нашого каналу в Telegram!
Якщо Ви зауважили помилку, виділіть її та натисніть Ctrl+Enter для того, щоб повідомити про це редакцію
Коментарі 0
Вибір редактора
Останні новини
Банківські «заначки» волинян поповнили бюджет на 15 мільйонів гривень
15 жовтня, 2019, 10:33
На Рівненщині під час полювання застрелили чоловіка
15 жовтня, 2019, 10:16
Хвороба швидко прогресує: дівчині з Волині потрібна дороговартісна операція
15 жовтня, 2019, 10:02
У місті на Волині зіткнулися бус та мінівен. ФОТО
15 жовтня, 2019, 09:47
На Волині п'яний мотоцикліст збив велосипедиста: потерпілий – в лікарні
15 жовтня, 2019, 09:41
