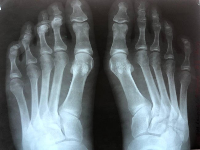
Лікарі прооперували 24-річну волинянку, у якої були викривлені пальці обох стоп
Волинські лікарі прооперували 24-річну пацієнтку, яка відчувала дискомфорт при ходьбі через викривлення перших пальців обох стоп.
Про це повідомляє Нововолинська центральна міська лікарня у фейсбуці.
Хворій під спинальною анестезією провели коригувальну операцію та реліз сухожилок першого пальця обох стоп.
Операція пройшла успішно. Пацієнтці дозволили вже з наступного дня навантажувати ногу.
В операційній працювали:
Лікар ортопед-травматолог Родзь Тарас Яремович
Сестра медична операційна Магдюк Людмила Анатоліївна
Лікар-анестезіолог Міщук Оксана Миколаївна
Нагадують, що нині, згідно з наказом УОЗ, у КНП «НЦМЛ» не лікують пацієнтів з підозрою на коронавірусну інфекцію чи вже з підтвердженим діагнозом. Тому лікарня продовжує працювати на повну потужність.
Бажаєте дізнаватися головні новини Луцька та Волині першими? Приєднуйтеся до нашого каналу в Telegram!
Про це повідомляє Нововолинська центральна міська лікарня у фейсбуці.
Хворій під спинальною анестезією провели коригувальну операцію та реліз сухожилок першого пальця обох стоп.
Операція пройшла успішно. Пацієнтці дозволили вже з наступного дня навантажувати ногу.
В операційній працювали:
Лікар ортопед-травматолог Родзь Тарас Яремович
Сестра медична операційна Магдюк Людмила Анатоліївна
Лікар-анестезіолог Міщук Оксана Миколаївна
Нагадують, що нині, згідно з наказом УОЗ, у КНП «НЦМЛ» не лікують пацієнтів з підозрою на коронавірусну інфекцію чи вже з підтвердженим діагнозом. Тому лікарня продовжує працювати на повну потужність.
Бажаєте дізнаватися головні новини Луцька та Волині першими? Приєднуйтеся до нашого каналу в Telegram!
Якщо Ви зауважили помилку, виділіть її та натисніть Ctrl+Enter для того, щоб повідомити про це редакцію
Коментарі 0
Вибір редактора
Останні новини
Долар подорожчав, а євро подешевшав: курс валют у Луцьку на 27 вересня
27 вересня, 2021, 09:20
«Політичній еліті потрібне термінове перезавантаження»: про що у Луцьку говорили Ігор Смешко та команда*
27 вересня, 2021, 09:10
Лікарі прооперували 24-річну волинянку, у якої були викривлені пальці обох стоп
27 вересня, 2021, 09:07
Повідомили статистику щодо коронавірусу в Україні за добу
27 вересня, 2021, 08:43
«Шансів врятувати дуже мало»: волинське озеро з «Лісової пісні» потребує мільйонних інвестицій
27 вересня, 2021, 08:04
