У Луцьку 16-річному юнаку нейрохірурги вийняли кулю з голови.ФОТО
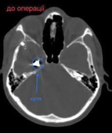
У Волинській обласній дитячій клінічній лікарні прооперували 16- річного юнака з травмою головного мозку. І травма ця дуже незвичайна – у хлопця була куля в голові, що призвела до руйнації скроневої кістки та частини головного мозку.
Про незвичний та складний випадок у лікарській практиці розповів нейрохірург дитячої лікарні Михайло Ловга на своїй сторінці у Фейсбук.
Як вияснилося, юнак необережно поводився з пневматичною зброєю і вистрілив собі в голову.
«Здавалось би - досить проста зброя, досить доросла дитина. І от результат необдуманого вчинку - потрапляння кулі в головний мозок» , - пише Михайло Ловга.
Лікарі виконали невідкладну операцію і вилучили стороннє тіло, видалили пошкоджені тканини і відновили цілісність збережених тканин.
«Добре, що куля зупинилась в 1 см від надзвичайно важливої судини і права скронева частка (яка пошкодилась в результаті травми) - функціонально незначима. Інакше, наш козак був би зовсім іншим, навзавжди», - пише лікар.
І радить батькам ховати зброю від дітей якнайдалі. «За мою нейрохірургічну практику схожих випадків траплялось близько десятка. У багатьох мої колег такі випадки теж часто зустрічаються. І завжди причина одна - необережне поводження зі зброєю. Добре, що нашому юнаку пощастило і він сьогодні йде здоровим додому. Але так щастить не завжди. Будьмо максимально уважні. Не варто випробовувати долю і думати, що з нами чи нашими рідними такого не станеться», - радить нейрохірург.
Бажаєте дізнаватися головні новини Луцька та Волині першими? Приєднуйтеся до нашого каналу в Telegram!
Про незвичний та складний випадок у лікарській практиці розповів нейрохірург дитячої лікарні Михайло Ловга на своїй сторінці у Фейсбук.
Як вияснилося, юнак необережно поводився з пневматичною зброєю і вистрілив собі в голову.
«Здавалось би - досить проста зброя, досить доросла дитина. І от результат необдуманого вчинку - потрапляння кулі в головний мозок» , - пише Михайло Ловга.
Лікарі виконали невідкладну операцію і вилучили стороннє тіло, видалили пошкоджені тканини і відновили цілісність збережених тканин.
«Добре, що куля зупинилась в 1 см від надзвичайно важливої судини і права скронева частка (яка пошкодилась в результаті травми) - функціонально незначима. Інакше, наш козак був би зовсім іншим, навзавжди», - пише лікар.
І радить батькам ховати зброю від дітей якнайдалі. «За мою нейрохірургічну практику схожих випадків траплялось близько десятка. У багатьох мої колег такі випадки теж часто зустрічаються. І завжди причина одна - необережне поводження зі зброєю. Добре, що нашому юнаку пощастило і він сьогодні йде здоровим додому. Але так щастить не завжди. Будьмо максимально уважні. Не варто випробовувати долю і думати, що з нами чи нашими рідними такого не станеться», - радить нейрохірург.
Бажаєте дізнаватися головні новини Луцька та Волині першими? Приєднуйтеся до нашого каналу в Telegram!
Якщо Ви зауважили помилку, виділіть її та натисніть Ctrl+Enter для того, щоб повідомити про це редакцію
Коментарі 1
У Михайла Ловги золоті руки!
Останні новини
Вперше на Заході України: у Луцьку відбудеться масштабний фестиваль світла
13 листопада, 2021, 23:09
У Володимирі горіла господарська споруда.ФОТО
13 листопада, 2021, 22:50
У Луцьку 16-річному юнаку нейрохірурги вийняли кулю з голови.ФОТО
13 листопада, 2021, 22:08
На луцькому авторинку «для согрєва» торгують сурогатом.ВІДЕО
13 листопада, 2021, 21:25
Ковельська вбиральня отримала «Оскар» за доступність для людей з інвалідністю
13 листопада, 2021, 20:35







