На Волині лікарі зробили унікальну операцію без жодного розрізу. ФОТО
Ортопеди-травматологи Володимирського ТМО провели малоінвазивну операцію 14-річному підлітку.
Про це повідомляють на сторінці Володимирського ТМО.
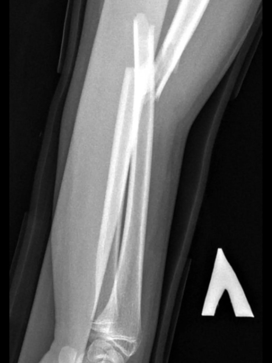
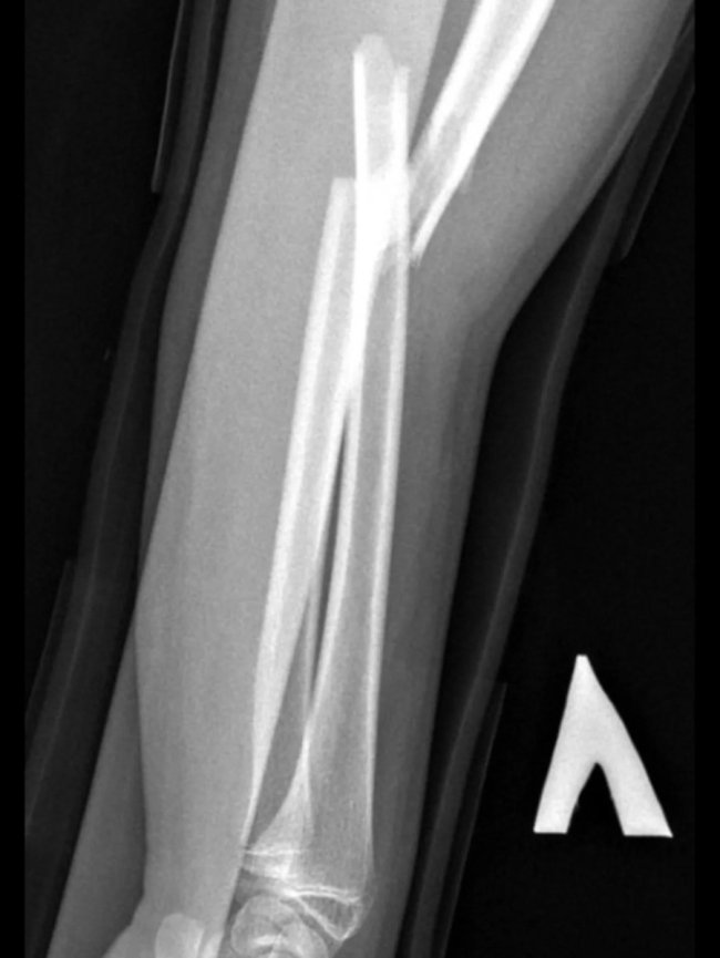
Ортопеди-травматологи Володимирського ТМО провели малоінвазивну операцію 14-річній дівчинці. Їй виконали закриту репозицію кісток лівого передпліччя з внутрішньокістковою фіксацією з ТЕНами.
Юній пацієнтці через два невеликі проколи шкіри передпліччя вправили зміщені уламки кістки без хірургічного розрізу, за допомогою спеціальних інструментів, відновлюючи правильне анатомічне положення кістки. Втручання проводилося під рентген-контролем.
Переваги методу:
мінімальна травматизація тканин;
низький ризик інфекційних ускладнень;
швидке загоєння перелому;
збереження функції кінцівки;
косметичний ефект — замість рубців лише два маленькі проколи.
У Володимирському ТМО ми застосовуємо сучасні малоінвазивні методики, щоб пацієнти швидко та безпечно відновлювались після травм.
Бажаєте дізнаватися головні новини Луцька та Волині першими? Приєднуйтеся до нашого каналу в Telegram!
Про це повідомляють на сторінці Володимирського ТМО.
Ортопеди-травматологи Володимирського ТМО провели малоінвазивну операцію 14-річній дівчинці. Їй виконали закриту репозицію кісток лівого передпліччя з внутрішньокістковою фіксацією з ТЕНами.
Юній пацієнтці через два невеликі проколи шкіри передпліччя вправили зміщені уламки кістки без хірургічного розрізу, за допомогою спеціальних інструментів, відновлюючи правильне анатомічне положення кістки. Втручання проводилося під рентген-контролем.
Переваги методу:
мінімальна травматизація тканин;
низький ризик інфекційних ускладнень;
швидке загоєння перелому;
збереження функції кінцівки;
косметичний ефект — замість рубців лише два маленькі проколи.
У Володимирському ТМО ми застосовуємо сучасні малоінвазивні методики, щоб пацієнти швидко та безпечно відновлювались після травм.
Бажаєте дізнаватися головні новини Луцька та Волині першими? Приєднуйтеся до нашого каналу в Telegram!
Якщо Ви зауважили помилку, виділіть її та натисніть Ctrl+Enter для того, щоб повідомити про це редакцію
Коментарі 0
Останні новини
У Луцьку водійка тролейбуса вчинила ДТП, в якому пошкодилися 4 автівки
11 вересня, 2025, 22:03
На Донеччині від обстрілу загинув воїн з Волині Андрій Денисюк
11 вересня, 2025, 21:21
На Волині лікарі зробили унікальну операцію без жодного розрізу. ФОТО
11 вересня, 2025, 20:41
Якою буде погода у Луцьку та на Волині у четвер, 12 вересня
11 вересня, 2025, 20:00
Завтра у Луцьку прощатимуться з Героєм Юрієм Ковальчуком
11 вересня, 2025, 19:14
