Рівненські лікарі встановили в череп 15-річному волинянину титанову пластину
Лікарі Рівненської обласної дитячої лікарні зробили складну операцію для 15-річного хлопця з Волинської області.
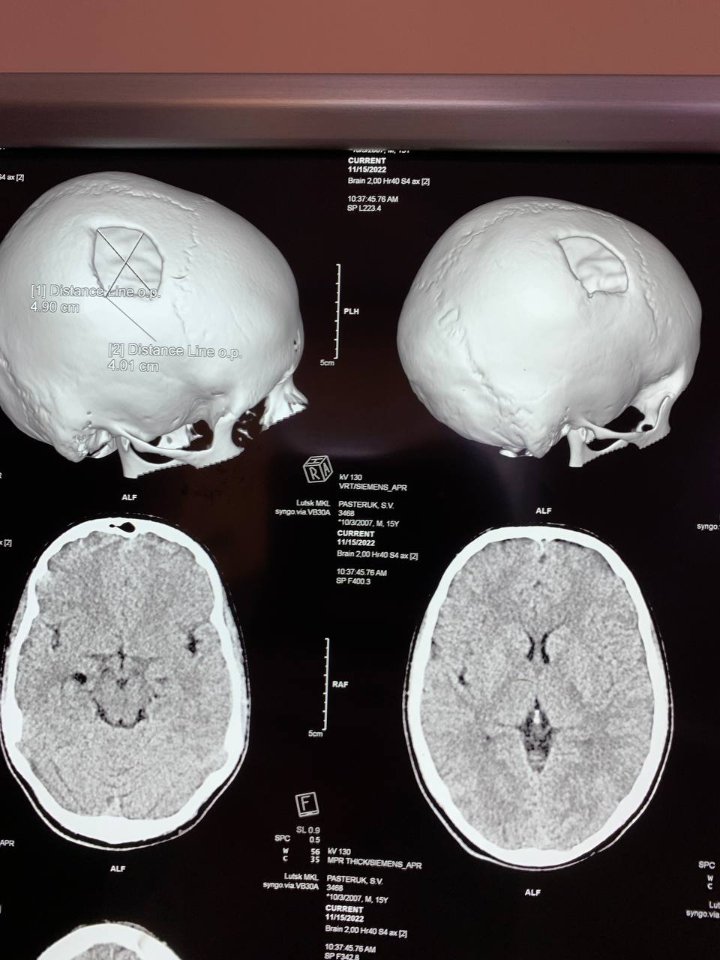
Волинянин дев'ять місяців тому отримав складну черепно-мозкову травму і рівненські медики виконали йому краніопластику, - повідомляють на сайті установи.
Пошкоджену частину черепної коробки закрили спеціальною титановою пластиною, яка повторює кісткові структури черепа, захищає мозок від ушкоджень.
Оперативне втручання провели: лікар-нейрохірург дитячий Сергій Романчук та лікар-хірург дитячий Ігор Сегін.
Операція пройшла успішно, хлопець на третю добу був виписаний додому.
Бажаєте дізнаватися головні новини Луцька та Волині першими? Приєднуйтеся до нашого каналу в Telegram!
Волинянин дев'ять місяців тому отримав складну черепно-мозкову травму і рівненські медики виконали йому краніопластику, - повідомляють на сайті установи.
Пошкоджену частину черепної коробки закрили спеціальною титановою пластиною, яка повторює кісткові структури черепа, захищає мозок від ушкоджень.
Оперативне втручання провели: лікар-нейрохірург дитячий Сергій Романчук та лікар-хірург дитячий Ігор Сегін.
Операція пройшла успішно, хлопець на третю добу був виписаний додому.
Бажаєте дізнаватися головні новини Луцька та Волині першими? Приєднуйтеся до нашого каналу в Telegram!
Якщо Ви зауважили помилку, виділіть її та натисніть Ctrl+Enter для того, щоб повідомити про це редакцію
Коментарі 0
Вибір редактора
Останні новини
Макрон повідомив, що в Україні вже працює ЗРК SAMP/T
20 червня, 2023, 07:33
У Верховній Раді хочуть визнати Білорусь країною-агресором
20 червня, 2023, 06:31
Рівненські лікарі встановили в череп 15-річному волинянину титанову пластину
20 червня, 2023, 05:28
«Відхилень від плану немає», – очільник РНБО про контрнаступ українських воїнів
20 червня, 2023, 03:42
Не вміє плавати, але кинулася у воду: на Волині ліцеїстка врятувала хлопчика, який тонув
20 червня, 2023, 02:17
