Волинські медики видалили 12 великих каменів із сечового міхура пацієнта
Складну операцію успішно провели волинські лікарі. Медикам вдалося видалити із сечового міхура пацієнта 12 великих каменів.
Про це у фейсбуці повідомляє Ковельське МТМО.
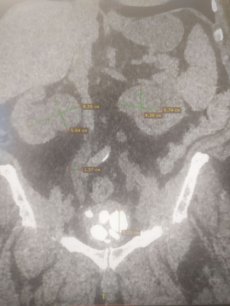
74-річного чоловіка госпіталізували у важкому стані. Лікарі діагностували низку хвороб, частина з яких у запущених стадіях: доброякісна гіперплазія передміхурової залози, хронічна затримка сечі, множинні камені сечового міхура, двобічний уретерогідронефроз, гостра ниркова недостатність.
Врятувати хворого можна було лише шляхом комплексного лікування та кількох оперативних втручань. Перед лікарями стояло нелегке завдання, з яким вони впорались успішно.
Першим етапом виконано цистолітотомію з епіцистостомією. Пацієнту забезпечили відтік сечі через спеціальну трубку, адже природній спосіб уже був неможливий. Далі лікарі приступили до видалення каменів великих розмірів, якими був наповнений сечовий міхур пацієнта (аж 12). Лапароскопічний спосіб у даному випадку був неможливим. Тож лікарі провели відкриту операцію.
Другим етапом (після нормалізації роботи нирок та усунення гострої ниркової недостатності) стала трансуретральна резекція передміхурової залози (золотий стандарт лікування гіперплазій простати, без розрізу, через природні сечовивідні шляхи). Об'єм простати, враженої доброякісною пухлиною, сягав гігантських розмірів - 100 см кубічних, при нормі – 30-35 см куб.
«Пишаємося нашими лікарями, які вкотре показали високу майстерність та професіоналізм. Це - Микола Дем’янчук, Мирослава Гаврилюк, Тетяна Самарчук, Василь Марчук. Життя пацієнта – у безпеці. Бажаємо йому швидкого відновлення та активного довголіття», - зазначили у медичному об’єднанні.
Бажаєте дізнаватися головні новини Луцька та Волині першими? Приєднуйтеся до нашого каналу в Telegram!
Про це у фейсбуці повідомляє Ковельське МТМО.
74-річного чоловіка госпіталізували у важкому стані. Лікарі діагностували низку хвороб, частина з яких у запущених стадіях: доброякісна гіперплазія передміхурової залози, хронічна затримка сечі, множинні камені сечового міхура, двобічний уретерогідронефроз, гостра ниркова недостатність.
Врятувати хворого можна було лише шляхом комплексного лікування та кількох оперативних втручань. Перед лікарями стояло нелегке завдання, з яким вони впорались успішно.
Першим етапом виконано цистолітотомію з епіцистостомією. Пацієнту забезпечили відтік сечі через спеціальну трубку, адже природній спосіб уже був неможливий. Далі лікарі приступили до видалення каменів великих розмірів, якими був наповнений сечовий міхур пацієнта (аж 12). Лапароскопічний спосіб у даному випадку був неможливим. Тож лікарі провели відкриту операцію.
Другим етапом (після нормалізації роботи нирок та усунення гострої ниркової недостатності) стала трансуретральна резекція передміхурової залози (золотий стандарт лікування гіперплазій простати, без розрізу, через природні сечовивідні шляхи). Об'єм простати, враженої доброякісною пухлиною, сягав гігантських розмірів - 100 см кубічних, при нормі – 30-35 см куб.
«Пишаємося нашими лікарями, які вкотре показали високу майстерність та професіоналізм. Це - Микола Дем’янчук, Мирослава Гаврилюк, Тетяна Самарчук, Василь Марчук. Життя пацієнта – у безпеці. Бажаємо йому швидкого відновлення та активного довголіття», - зазначили у медичному об’єднанні.
Бажаєте дізнаватися головні новини Луцька та Волині першими? Приєднуйтеся до нашого каналу в Telegram!
Якщо Ви зауважили помилку, виділіть її та натисніть Ctrl+Enter для того, щоб повідомити про це редакцію
Коментарі 0
Вибір редактора
Останні новини
Волинські медики видалили 12 великих каменів із сечового міхура пацієнта
13 грудня, 2023, 18:18
На Запоріжжі загинув Герой Сергій Бардась із Волині
13 грудня, 2023, 17:33



